-- -- -- / -- -- --
إدارة الموقع

الطاعون الأبيض يحصد 73 ضحية بباتنة والقائمة مفتوحة

الشروق أونلاين
  • 25621
  • 49
الطاعون الأبيض يحصد 73 ضحية بباتنة والقائمة مفتوحة

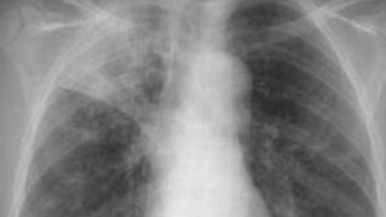
ارتفعت حصيلة الطاعون الأبيض الى73 ضحية منذ استفحال داء السيليكوز وسط الشبان الممتهنين لصقل الحجارة بدائرة تكوت ولاية باتنة، حيث سجلت خلال الشهر الفائت وفاة ضحيتين أخريين، ويتعلق الأمر بغمري إبراهيم وغقالي كمال.

  • تحولت تكوت الى منطقة منكوبة من الناحية الإنسانية، من خلال تسجيل 32 أرملة، وبالنظر  إلى التعقيدات الكبيرة والظروف الاجتماعية، وبعد إفراج السلطات العليا عن المرسوم التنفيذي الذي بقي حبيس الإدراج مدة ثلاث سنوات كاملة قبل أن يوقعه الوزير الأول في 30 أوت 2010 المتعلق بالتدابير الخاصة بالوقاية والحماية من أخطار أشغال قطع الحجارة وصقلها، غير أن المكلف بالشؤون القانونية لدى الرابطة الجزائرية للدفاع عن حقوق الإنسان فرع عنابة، اعتبر أن هذا المرسوم وعلى أهميته يبقى منقوصا لعدم تطرقه إلى جوانب التكفل المادي والاجتماعي نظرا لكون أهالي الضحايا يفتقدون للحق في طلب منحة الوفاة وكذا مصاريف الجنازة ومنحة المعاش بالنسبة للأرامل والأيتام القصر، من هيئات الضمان الاجتماعي المعنية على اعتبار أن هؤلاء المتوفين ليس مصرحا بهم لدى كل من المصلحتين.
  • وقد ناشدت الرابطة الحقوقية بالتدخل العاجل لوزير العمل والتضامن الوطني لتسوية الحقوق البعدية، خاصة أن مصادر أشارت إلى أن عدد المشتغلين في مهنة الموت بلغ 950 شاب على مستوى منطقة تكوت وحدها، فيما تقول تقديرات إن عددهم يتجاوز 2000 شخص على المستوى الوطني بعد تسجيل حالات بولاية تيزي وزو والبويرة.
أضف تعليقك

جميع الحقول مطلوبة, ولن يتم نشر بريدك الإلكتروني. يرجى منكم الإلتزام بسياسة الموقع في التعليقات.

لقد تم ارسال تعليقكم للمراجعة, سيتم نشره بعد الموافقة!
التعليقات
49
  • بوزيد

    ربي يرحم الموتى و يحفظ العايشين لكن اين المسؤولين الذين يعتبرون انفسهم اولياء هؤلاء الناس امام الله

  • رضــــــــــــــــوان

    الله يرحمهم و الله يشافي المرضى.
    مادامت هذه المهنة تحصد الارواح فهي مثل الانتحار البطيئ و لهذا يجب منعها و توفير ألات لقطع الحجارة عوض الانسان و وضع كامل تتدابير الوقاية لمنع دخول الغبار القاتل الى الرئة . مع الاهتمام بشباب هذه المنطقة و توفير لهم فرص شغل تبعدهم عن هذه الحرفة الخطيرة.

  • ahmed

    هل من مجيب ام لا حياة لمن تنادي ايها الشعب الجزائري ان تصنع المجد لنفسك فلن يكون من غيرك

    [email protected]

  • ابن تكوت

    اين رجال اعمال بني تكوت او بالاحرى برجوازية تكوت للاستثمار في بلديتهم والنهوص بها اقتصاديا واجتماعيا وصحيا .ام هم منهمكون في نشر البلبلة والفتنه ويبحثون عن مسؤول عشرة او مشي.

  • imad

    لابدعلىالمسؤلين التدخل للحد من هده الكارته ربى يرحمهم

  • انيس

    مند زمان وشباب هده المنطقة يتعرض للموت البطئ نثيجة اشتغاله في حرفة صقل الحجارة.لمادا لم تتدخل السلطات المحلية لوضع حد لهدا المشكل بمساعدة هؤلاء الشباب على اقتناء الات عصرية للتقليل من نبسة الغبار ومتابعتهم صحيا.اتدكرانني كنت امر احيانا بهده المنطقة في التمانينات عندما كنت في الخدمة العسكرية ورايت الظروف القاسية التي يعيشها سكانها التي يبدو انها باقية علىحالها لم تتغيرالى الاحسن.الله يكون في عونهم ويرحم موتاهم.

  • walid

    الله يرحمهم

  • ammaross

    المدعو خالد الذي يقول يحيا بوتفليقة هل هذا وقتها نعم يحيا بو تفليقة و لكن لكل مقام مقال الناس اتموت و انت تقول يحيا بو تفليقة

  • Médecin du travail

    La silicose est une pneumoconiose, elle touche les gens qui travaillent dans les mines et les carrières, tout le problème réside dans l'obligation de faire un dépistage chez ces travailleurs par une exigence aux entreprises faite par l'inspection du travail qui est absent chez nous !!!!!!!!!!

  • سليمبرج بوعريريج

    سلام
    باتنة عاصمة الأوراس والأبطال
    اعيدوا اليها الاعتبار
    تريد تنمية....
    باتنة الأولى من حيث الارث السياحي بين الأمازيغي امدغاسن- خباي- أشنتوف - بالول وغيرها...والرروماني تمقاد أكبر وأقدم ميدنة رومانية بعد روما ، زانة - لمباز- فسديس- وغيرها..
    جميلة بمناظرها الطبيعية الشلعلع وغابات الأرز النادرة في العالم- شليا اشمول وغوفي و الرحوات و تالمات وتكوت و نقاوس وغيرها
    غنية بتاريخها ثورة اولاد سلطان واولاد اشليح 1860 ، انطلاق ثورة الجزائر الخالدة 1 نوفمبر.
    لا ننسى رجالها ورجال الجزائر مصطفى بن بولعيد . الحاج لخضر . علي النمر - مصطفى مراردة النوي. عباش لغرور. ملاح .وغيرهم.
    ولاية 05 رائعة رائعة
    ...عشت بها 4 سنوات وأهلها طيبون ورجالة.
    اعيدوا الاعتبار والاهتمام بعاصمة الأواراس يا احرار الجزائر.
    رجائي كبير انشر التعليق .
    سليم البرايجي - مواطن جزائري حر

  • chocho_nacer

    اللهم احمي الجزائر و اهلوها

  • adrari

    قال سيدنا عمر رضي الله عنه والله لوان بغلة عطرت بارضي بغداد لكنت انا المسؤول عنها والله حكمت وعدلت ونمت ياعمر اين نحن العرب والمسلمين من هد المبدئ المسؤول اليوم ورعيتنا تموت باتفه الاسباب من اجل البقاء في السلطة

  • ابنة الأوراس الأشم منااااااااااااااال

    مهما كتبتم لن توفوا بحق هؤلاء لأني منهم و عشت معهم هذا الكابوس المستمر.
    لو تقربتم الي احدي العائلات التي ذاقت مرارة فراق 5 أفراد في عز الشباب لعرفتم خطورة هذا الداءالفتاك الذي اودي بحياة اكثر من 100 شاب أغلبهم من قرية تكوت التي لم تتحرك السلطات لتقصي الحقائق لسبب واحد هو أن المتوفون يعملون في ورشاتهم التي تخلو من ادني وسائل الحماية . اتمني ان تنشروا هذا ام انكم تختارون من يساند بوتفليقة و نظامه المجرم

  • ali

    ارجع وفكر مليح تجد ان السبب الاول والاخير هي الدولة لانها لا يهمها المواطن مات ولا عاش صحيح ولا مريض اهتماماتهم اخرى ... هذا اللي يحرك الثورات ..ليه المنكر ليه ؟ في كل العالم يعرفو ان الوقاية من هذا المرض تحتاج وسائل .اين الدولة ؟ لا ادري... يا ويلكم يا ويلكم

  • idriss

    1هذا الداء ليس جرثومي بل نتيجة تكدس غبار الحجارة في الرئتين ويسمى علميا silicose و هو إستنشاق مادة سيليس silice عند قطع الحجارة (هذا للتوضيح فقط)
    2 و ظل القانون المنظم للمهنة و الوقاية من الإصابة قي ادراج الحكزمة قبل ان توقعه في اوت 2011 ما معنى ذلك

  • لعلى شمس الدين

    ربي يرحمهم برحمتو الواسعة , إلى صاحب التعليق رقم 1 صح عندك الحق في لينا ربي و نوكلوه على كل سراق و ظالم , بصح ما تنساش ثاني يا أخي راهم كاينين ناس ربي يهديهم خدمتهم سب الدولة تاعنا ( ياي كون أطيح لحجر من السما إقولو الدولة تاعنا ألي درتها ) ياخي بشر ياخي قبل ما تقولو الدولة عطاتنا أو ما عطاتناش سقسيو نفوسكم واش قدمتو أو واش مزالكم قدرين تقدمو للبلاد , ربي يرحم هذو الموتا و ربي يصبر أهلهم إنا ل الله و إنا إليه راجعون

  • hafid

    يجب تدخل أمريكا و الدول الأوروبية فورا هذا خطير للغاية .

  • khaled*************

    الله يرحم اللي ماتوا ولكن لماذا لا يتخذ هولاء العمال اقنعة وقائية ؟ولماذا لاتمنع الدولة هذا النوع من النشاط ؟ أم كل شيئ من أجل المال يهون ؟ أم أن الدولة في واد الشعب في واد؟

  • كهكخ

    المسؤولون اكل شياب منين اجي التغيير بعقلييتهم هديا ياو لقاو ام لاحونا اكل فلبحر

  • belkacem

    بلقاسم 50 سنة نارة
    إنا لله وإناإليه راجعــــــون
    هذاهــو جــزاء الفقيـــر المغلوب عليه في بلد اللاييـــر والثروة البتروليــة الكبيــرة
    الله يرحمهـــم ويصبر أهلهــم

  • حفيدة شهيد الأوراسية

    الله يرحمهم و يصبر أهاليهم و يشفي المرضى بهذا الداء,حقيقة لا أعرف ما أقول تخونني الكلمات للتعبير عن مدى تأثري على هؤلاء الشباب المساكين ضحايا الفقر و التهميش و الحقرة أين المسؤولين من كل هذا أين وزرائنا أين هم أليس لهم قلوب؟ حرام أن يعيش شباب تكوت أحفاد الشهداء في هذه الأوضاع المزرية, أهذا جزاء أجدادهم الشهداء؟ أجيبوني أيها الوزراء يا من تنعمون و تغرقون أنتم و أبنائكم في خيرات هذا البلد الحبيب, و لا يهمكم حالنا؟ أين وزير التضامن جار تكوت التي لا تبعد عن بسكرة الا ببضع كيلومترات؟ حسبنا الله

  • لطفيbea

    للأسف طفرت فيهم و عاااااااااااااااااااااااااااااااااااااااااااااااااااااااااادي
    ربي يرحمهم

  • ALILO

    الا غالب مكانش واش يخدموا==ان لله و ان اليه يرجعون

  • مراد

    القذافي لا يكذب و لا يبالغ في كلامه عندما و صف شعبه بالجرذان و هذا الوصف ينطبق على الشعب الجزائري أيضا فمرض الطاعون يسببه الجرذان وينتقل الى البشر الذين يعيشون كالجرذان. خلافا عن من يعيش في القصور و الفيلات الفخمة فالباقي من الشعب فهم جرذان و ليسوا بشر.

  • بدون اسم

    أين المسؤولين .............................

  • جمال

    انا لله وانا اليه راجعون

  • kada logique

    zidoha lmali we nijer

  • بدون اسم

    للعلم هو ليس الطاعون المرض المعدي مرض الدول الاشد من متخلفة و فقيرة !! و لو انو لن يكون بمستغرب
    و لكنه ناجم عن استنشاق ذرات السيليس الناتجة كغبار في المحاجر و تكدسها في الرئيتين و تدميرها
    و طبعا عدم ارتدائهم لماسكات واقية السبب
    و طبعا وزراة الشغل و الصحة اخر همهم صحة العمال
    و طبعا مديريات الشغل لا تتفقد سلامة العمال في مناطق عملهم
    و طبعا المساكين لا يوجد علاج و صحتهم راحت
    تخلف في تخلف و اضيف مثل الاخ اعلاه تحيا بوتفليقة !!! على حكوماته الرائعة التي اخرجتنا من التخلف
    و الى الوراء سر يا جزائر و هناك من لازال يطبل.

  • صابر

    يجب أن تكون هناك حملة تحسيسية ببلدية تكوت و على مستوى ولاية باتنة بالخصوص لتوعية الشباب بمخاطر هذه المهنة، و بهذه المناسبة أترحم على روح الزميل عبدالمؤمن غوقالي من تكوت الذي اشتغل في هذه المهنة، ربي يرحمهم جميعا.

  • سيف

    باتنة منطلق الثورة وجبالها مهد الدولة الجزائرية أصبحت الان أكثر منطقة معزولة في الجزاءر وتفتقر الى جميع شروط الحياة ومزايا الدولة؟؟؟؟؟؟؟؟

  • فاتح

    بسم الله
    اناشد الرئيس بوتفليقة و رئيس الحكومة اويحي لانكم اصحاب الربط و الحل في الجزائر
    قال رسول الله-انصر اخاك ظالم او مظلوم-
    اما الظالم في اغلب الاحيان يكون مسؤول.
    و المظلوم في اغلب الاحيان يكون من الشعب.وفي كلتا الحالتين في ايديكم الحل.
    و الله ولي التوفيق

  • جزائر

    بي يجيب الخير

  • ammisttmurt

    les pays pauvres sont les plus touchés par cette maladie (tuberculose )se transmet sur tt par voie de respiratoire il existe maintenant les antibiotiques antituberculeux et on ne meurt plus de cette maladie souf en cas de retard diagnostic

  • احمد

    القوانين نتاعنا دائما هي التي زادة الطينة بلة من المفروض العقوبات تطال الذين يشيدون قصورهم بالحجارة وليس العامل الذي يقتات من هذا العمل المميت عندما منعوهم من سقل الحجارة في العراء دخلوا للمارب والاقبية والاماكن المغلقة لصقل الحجارة خوف من القانون فتضاعفة المخاطر وزادت نسبة الوفايات ربي يرحمهم انا لله وانا اليه راجعون

  • sami

    masolin yamaso fi dimaa el shbab et hna rana nmot bah nakhadmo yakhi dawla ta3bana

  • محمد علي 12

    ان لله وان اليه راجعون

  • sofiane,grey ship

    كل حاكم فوق هذه الارض الا و يعبد الشيطان سواء كان غير مسلم او يدعي ديانة الاسلام,فهذه هي سنة الحياة .ان فكرة يوما في ان تكون حاكما الا وجهز نفسك لمعصية الله .

  • جمال الاوراسي

    صدقوني هناك كارثة ستحصل بولاية باتنة ان لم يتحرك أحد
    المزروعات تسقى بمياه المجاري
    الماء الذي يشربه سكان باتنة يأتي من سد تيمقاد الذي تغسل فيه السيارات وترمى فيه شتى انواع القاذورات
    لاأستبعد ان ينفرض سكان الولاية خلال 10 سنوات

  • خالد

    يحيا بوتفليقة يحيا توتفليقة يحيا يحيا يحيا يحيا بوووووووووووتفليقة يحيا يحيا

  • بدون اسم

    الله يرحمهم ويصبر والديهم

  • mazigh

    عندما يموت شخص في البلد الأروبي تقام الدنيا وتعلن حالة الطوارئ لكشف الحقيقة أما في دائرة تكوت اصبح الموت في كل بيت وكل يوم بسبب هذا الطاعون الإصطناعي .
    - اين التضامن الذي نتغنى به نحن الجزائريين ،اين اصحاب الحل والربط اين الذين ننتخب عليهم في كل مرة - لكن لاحياة لمن تنادي - فياشباب تكوت الحبيبة اتحدوا مع إخوانكم وتعاونوا للخروج من هذا الشبح المرعب .
    اللهم اشف مرضانا وارحم موتانا.
    - أيها الأطباء الجزائريين إنقذوا اخوانكم في دائرة تكوت
    -ايها المثقف في ولاية باتنة اين انت وما دورك في المجتمع
    -أيتها الصحافة ما موقعكم من هذه الكارثة
    -الله الله الله معكم ياهل تكوت
    -----------------من غسيرة نحييكم -----------------

  • حفيدة الشهداء

    هذا هو حال شباب الجزائري في المناطق الجبلية التي تفتقر لادنى شروط الحياة المسكن ' العمل الائق . وشخصيا اعرف اشخاص توفوا جراء هذا المرض .تركوا ارامل ويتمى 'ابنائهم يشتغلون نفس الحرقة القاتلة .هذا هو حال بلد الملايير و البترول

  • عليمة

    ربي يحفظنا ويحمينا

  • taki banano

    ربي يرحمهم ويصبر اهلهم

  • samir

    الله يرحمهم و يوسع عليهم و حسبنا الله و نعمة الوكيل في مسوؤلين الذين لا يفوتون فرصة في تلفزة او في الاذاعة لي يتفننو في وصف و تصوير الشباب الجزائر بانهم يرفضون العمل وو صفهم بي فنيانين ...مراهمش نتاع خدمة...ميصلحو لوالو ...الخ
    انشروووووووووووووووووه

  • samir

    ربي يشفيهم ان شاء الله هذي فئة تتالم في صمت حسبنا الله ونعمة الوكيل في مسؤولينا وكل من يتفنن في الصاق تهمة بي شبابنا و وبوصفهم فناينين...ماشي تاع خدمة...ميحبوش يخدمو ...الخ

  • مواطن

    الدولة دايما مقصرة في حق المواطن. يموت او يحي سيان.

  • tati de batna

    pourtant ils savent que ce travail mourrant , mais ils travails toujours.. se sont des suicidaire..
    parce que tout simplement, ils gagnent beaucoup beau coup d'argent.. ils sont devenu les richards de la wilaya.. allah yerhamoum

  • بدرو البسكري

    الله يرحمهم، هذا هو الفقير ديما تجيه غير المصايب و الميزيرية، يخي بلاد و الله غير عيب يقولو 200 مليار دولار. و مازال القمل و الطاعون و التيفوييد. معليش لينا ربي سبحانو نوكلوه على كل سراق و ظالم