-- -- -- / -- -- --
إدارة الموقع
يثير ذهول الأطباء

جنين تخرج قدماه من الرحم قبل موعد الولادة بأسابيع!

هافنغتون بوست عربي
  • 3459
  • 0
جنين تخرج قدماه من الرحم قبل موعد الولادة بأسابيع!
ح.م

ذُهل الطبيب الفرنسي بيير إيمانويل بويه عندما اكتشف أنّ زوجاً من الأرجل يتدلى إلى جانب مريضته الحامل من الرحم.

كتب الطبيب في رسالة بريدٍ إلكتروني إلى صحيفة الواشنطن بوست إنّه “ذُهل عندما اكتشف الأمنيوسيل”، مُشيراً إلى الجزء البارز خارج الرحم من الكيس الممتلئ بالسائل المشيمي. بحث الطبيب عن رأيٍ ثانٍ: “كانت ردة فعلي الأولى هي سؤال زملائي لأتأكد من تشخيصي”.

بويه، طبيب الولادة بالمركز الطبي لجامعة أنجيه، غربي فرنسا، كان لديه سبباً وجيهاً في ذهوله. مثل هذه الحالة الشاذة نادرة جداً، كما أخبر الطبيب صحيفة واشنطن بوست، لدرجة أن هناك 26 حالة مسجّلة فقط في تاريخ طب الولادة. 

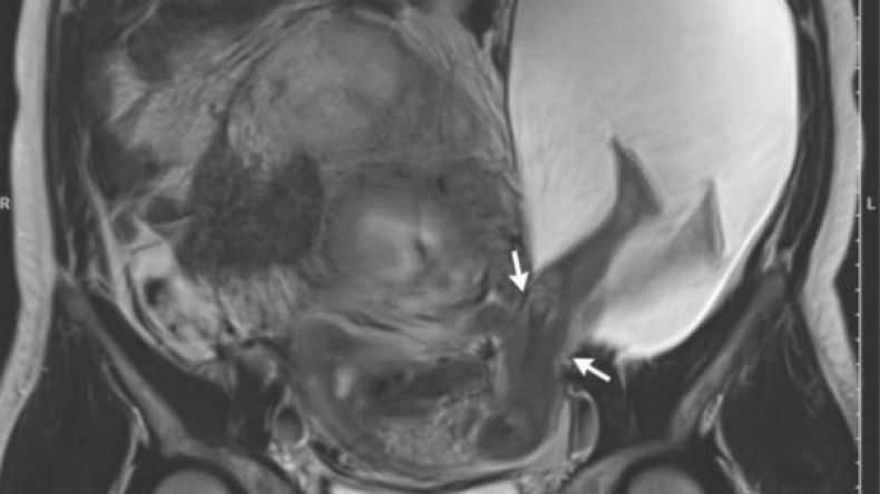
وفحص أطباء المرأة الجنين باستخدام تصوير الرنين المغناطيسي. نشر بويه وزميله صورة للأمنوسيل في دورية New England   الطبية يوم الخميس. وعلى الرغم مما يبدو عليه الأمر، فإن ركلة وحشية من الجنين ليست هي السبب.

يقول بويه، “رجلي الجنين لم تتسبب في الفتق”. عوضاً عن ذلك، يُحتمل أن تكون الولادات القيصرية الخمسة التي أجرتها المرأة سابقاً قد أدت إلى التمزق، في رأي طبيب الولادة. بسبب الندوب من الولادات السابقة، فإن أجزاءً من الرحم بقيت متيبّسة بشكلٍ غير عادي بدلاً من التضخّم في الحجم خلال حملها الأخير. تمزّق جدار الرحم عندما لم يعد قادراً على التمدد، متسبباً في تمزُقٍ بطول بوصة (الصورة بالأعلى، موضحٌ عليها التمزق بالأسهم).

كانت الأم غير واعية بشأن التمزّق ولم تظهر عليها أية أعراض. عادة ما تشعر النساء المصابات بتمزق في جدار الرحم بالألم، وفقاً لما قاله بويه لصحيفة واشنطن بوست، والذي يتسبب فيه النزيف الداخلي. إلا أن الفتق “ضغط على جدران تمزق الرحم، وأدّى إلى توقف النزيف”. يعني هذا أن موقع الأمنيوسيل ورجلي الجنين سدّتا التمزق، ما منع فقدان الدمّ.

لكن الخطر الذي يمثله الأمنيوسيل على الأم الحُبلى أقلق بويه. يُمكن أن يتمزق رحمها بالكامل مؤدياً إلى نزيف داخلي. كانت هناك مخاطرة شديدة بالولادة قبل الميعاد. يقول الطبيب، “بالنظر إلى المخاطر العالية على الأم والجنين، اقترحت على الزوجين إجهاضٌ طبي مبكّر بعد 22 أسبوعاً من الحمل”.

لكن الزوجين قررا الاستمرار. وبعد ثمانية أسابيع، وُلد الطفل ولادة قيصرية.

يقول بويه، “وُلد الطفل سليماً. كان سابقاً لأوانه، لكنه سليماً”. وبعد ستة أشهر، وفقاً للأطباء، كان الرضيع حياً ويركل.

أضف تعليقك

جميع الحقول مطلوبة, ولن يتم نشر بريدك الإلكتروني. يرجى منكم الإلتزام بسياسة الموقع في التعليقات.

لقد تم ارسال تعليقكم للمراجعة, سيتم نشره بعد الموافقة!
التعليقات
0
معذرة! لا يوجد أي محتوى لعرضه!