-- -- -- / -- -- --
إدارة الموقع
أطلقتها "جنرال إلكتريك للرعاية الصحية"

منظومة جديدة للذكاء الاصطناعي لرصد النتائج غير الطبيعية في الصور الشعاعية

أحمد عليوة
  • 1723
  • 0
منظومة جديدة للذكاء الاصطناعي لرصد النتائج غير الطبيعية في الصور الشعاعية
ح.م

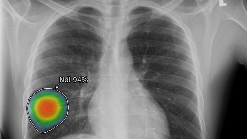
قدمت “جنرال إلكتريك للرعاية الصحية”، الأربعاء، “منظومة العناية الصدرية”، وهي مجموعة برمجية من ثماني خوارزميات للذكاء الاصطناعي قائمة على حلول “لونيت إنسايت”لتصوير الصدر بالأشعة السينية، وتساعد في تخفيف المضاعفات السريرية الناجمة عن مرض “كوفيد19”.

وتعمل المنظومة المدعومة بالذكاء الاصطناعي على تحليل نتائج التصوير بالأشعة السينية بسرعة وتكشف لأطباء الأشعة وجود أي مظاهر غير طبيعية وتمكنهم من مراجعة النتائج بدقة بما في ذلك احتمال وجود الالتهاب الرئوي، والذي قد يكون دليلاً على احتمال الإصابة بمرض “كوفيد-19″، علاوة على مرض السل والتعقيدات الرئوية وغيرها من الأمراض التي تكشفها نتائج التصوير الشعاعي.

وفي هذا السياق، قال كيران مورفي الرئيس والمدير التنفيذي لجنرال إلكتريك للرعاية الصحية: “يندرج إطلاق ’منظومة العناية الصدرية‘ في إطار جهود جنرال إلكتريك للرعاية الصحية لوضع أحدث البرمجيات والمعدات الضرورية لتشخيص وعلاج مرض كوفيد-19 في متناول الفرق العاملة في الخطوط الأولى للتصدي لتفشي الجائحة بسرعة وكفاءة.

وقد كشف تفشي الجائحة عن قدرة البيانات والتحليلات والذكاء الاصطناعي وتقنيات الاتصال ودورها الحيوي وبالغ الأهمية في تقديم الرعاية المثلى للمرضى، وتمثل هذه النتائج بالنسبة لشركة ’جنرال إلكتريك للرعاية الصحية‘حافزاً للاستمرار بتطوير تقنيات الصحة الذكية وتقديم تقنيات مبتكرة، ولاشك أن هذه الحلول الجديدة هي أحدث الأمثلة عن قدرة التصوير بالأشعة السينية والذكاء الاصطناعي على توفير أرقى معايير رعاية المرضى وسط انتشار هذا الوباء في وقتنا الراهن”.

وحتى اليوم، تم تأكيد إصابة حوالي 8 ملايين شخص  بمرض “كوفيد-19” حول العالم، بما يضع تحديات جمّة على أطباء الأشعة والمتخصصين في التكنولوجيا والأطباء، وفي ظل تفشي الفيروس المستجد، لايزال الأطباء بحاجة إلى أدوات تساعدهم في إدارة الحالات الجديدة والمضاعفات الناجمة عن المرض، بما في ذلك الالتهاب الرئوي وضيق التنفس الحاد، وهو أمر يزيد من حجم الضغوط الملقاة على عاتق أطباء الأشعة لقراءة اختبارات تصوير الصدر بالأشعة السينية بسرعة.

ومع إجراء نحو 1.44 مليار تصوير للصدر بالأشعة السينية سنوياً، فإن هذا العدد الكبير يضع تحديات جمّة في وجه أطباء الأشعة، لاسيما وأنهم يبحثون باستمرار عن مؤشرات لأمراض عديدة في كل اختبار يجرونه.

وتستفيد “منظومة العناية الصدرية” من قوّة الذكاء الاصطناعي للمساعدة في الحد من هذه الضغوطات من خلال تحليل تلقائي للصور يرصد ثماني نتائج غير طبيعية للتصوير الشعاعي، بما في ذلك الاشتباه بالإصابة بمرض السل والالتهاب الرئوي، وهي أعراض يمكن أن تشير أيضاً إلى الإصابة بمرض “كوفيد-19”. وعند قراءة التقرير في أنظمة أرشفة الصور وأنظمة الاتصالات  (PACS)، يمكن للمتخصصين في التصوير الشعاعي التعرف بسرعة على حدة الأعراض غير الطبيعية الثمانية المحتملة، وإجراء عملية تركيب الصور، ووصف موقع الإصابة كتابياً بما يثمر في تسريع وتيرة التشخيص والعلاج.

وأشار البروفيسور فيرغوس جليسون،استشاري طب الأشعة، وأستاذ الطب الشعاعي في جامعة أكسفورد، ورئيس الجمعية الأوروبية للتصوير الصدري لعام 2020: “يبحث المتخصصون في قطاع الرعاية عن وسائل موثوقة سريرياً تساعدهم في التعرف على الأعراض بشكل مبكر، وتحديد المرضى الأكثر عرضة من غيرهم لمخاطر حصول مضاعفات وبالتالي يتعين مراقبتهم باستمرار، لذلك يتمكن الذكاء الاصطناعي من تحديد درجات المرض بين المرضى لتوجيه الموارد الطبية في المستشفيات نحو الأكثر حاجة إليها أثناء خضوعهم للعلاج، وعقب خروجهم من المستشفى”.

وإضافة إلى الكشف عن الالتهاب الرئوي، تدعم “منظومة العناية الصدرية” أمراضاً مثل السل؛ وانخماص الرئة؛ والتكلس؛ وتضخم القلب؛ والتليف؛ واتساع المنصف؛ والعقيدات الرئوية؛ وكشف الانصباب الجنبي.

أضف تعليقك

جميع الحقول مطلوبة, ولن يتم نشر بريدك الإلكتروني. يرجى منكم الإلتزام بسياسة الموقع في التعليقات.

لقد تم ارسال تعليقكم للمراجعة, سيتم نشره بعد الموافقة!
التعليقات
0
معذرة! لا يوجد أي محتوى لعرضه!